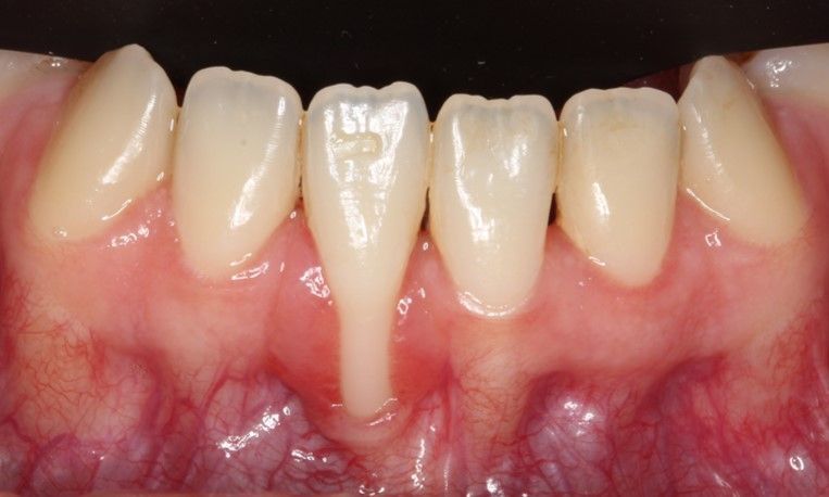
Treatment of Gum Recession
Gum recession can result from overzealous toothbrushing or orthodontic tooth movement out of the arch. Gum recession can compromise the appearance of the smile and can often result in the tooth being hypersensitive.
Mucogingival surgery
Gum recession can be repaired by undertaking gum plastic surgery. Taking a gum graft from the palate and surgically positioning it in the gum defect area. This is a very technique sensitive procedure undertaken by specialist periodontists.
Case 1

